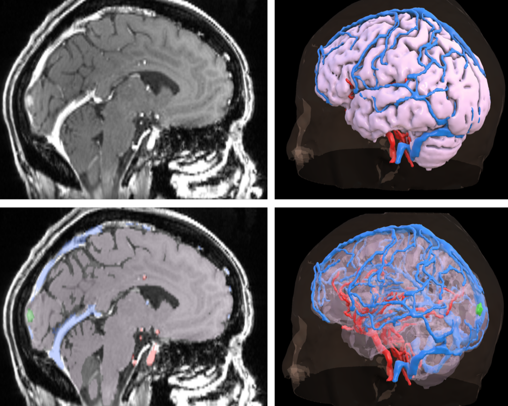
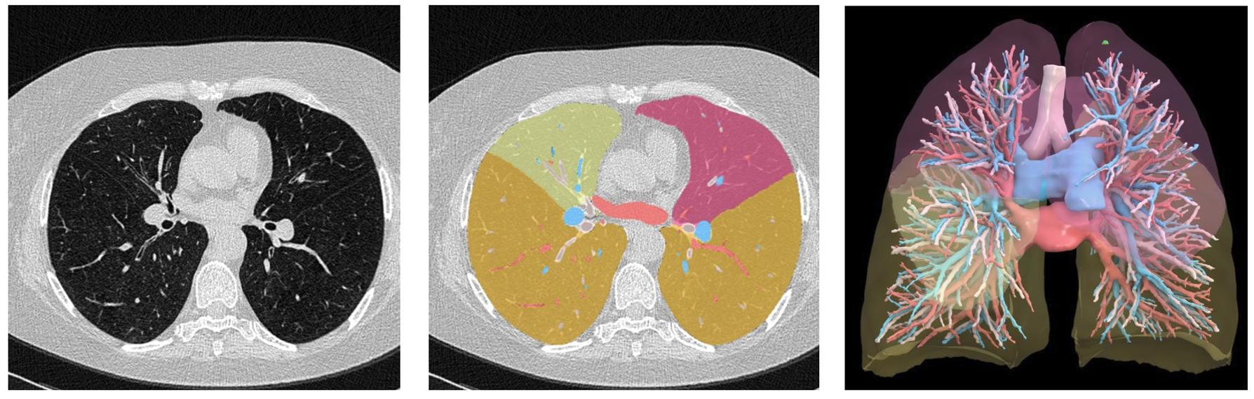
AI Learning Database
This patient is real, but the labelled image and the 3D models were computed by our AI software which was entirely trained with Synthetic Patient images generated by our new software.
Synthetic Brains
This is an example of custom dataset generated on client’s request to get synthetic dataset of brains.



