We collaborate with partners at any Technology Readiness Level (TRL) and support projects across the full development life-cycle — from early research to commercial deployment.
Our Partnership Models
We offer flexible collaboration options tailored to your needs:
Ready‑to‑Use Synthetic Datasets
Immediate access to high‑quality, synthetic datasets built from our validated imaging libraries.
Custom Synthetic Datasets from Our Image Library
Made‑to‑order synthetic datasets generated from our existing premium CT/MRI collections, adapted to your specific organ, pathology, or use case.
Custom Synthetic Datasets from Client‑Supplied Images
Synthetic data generation using your own imaging data, enabling privacy‑preserving dataset expansion while maintaining anatomical and pathological consistency.
Who We Collaborate With
We welcome all forms of partnership with organisations across the healthcare and innovation ecosystem, including:
- Pharmaceutical companies
- Medical device & Med‑Tech companies
- AI and data science companies
- Academic and research institutions
- Regulatory and public organisations
- Surgical robotics developers
- Medical imaging and visualisation vendors

Partner Benefits
Collaborating with Synthetic Patient provides:
- Early access to advanced synthetic datasets and technology
- Co‑development opportunities aligned with your road-map
- Tailored synthetic datasets for research, validation, or commercialisation
- Flexible licensing models adapted to R&D and enterprise needs
Let’s Build Together
Whether you are validating an AI model, simulating a medical device, or developing next‑generation digital twins, we work with you to design reliable, scalable, and clinically coherent synthetic data solutions.

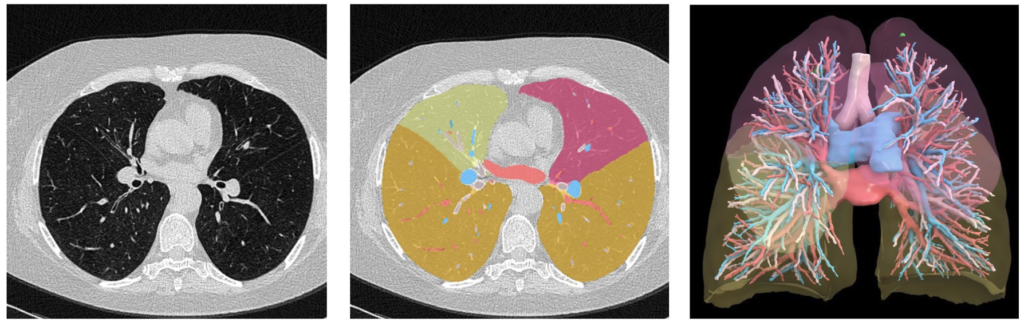
Extremely High quality medical image with labelled image and patient 3D modelling

